What is an Echo with a Color Doppler Test?
3 Min Read
Fact Checked
Color Doppler echocardiography is a test that helps cardiologists see the blood flow in the heart and its chambers more clearly than a regular echocardiography.
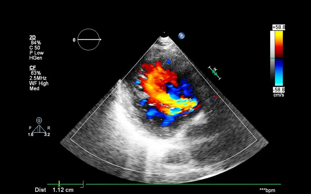
In simple terms, it uses colors to show the direction of the blood flow — red means the blood is flowing toward the probe, and blue means it’s flowing away from it. This is different from a regular echocardiography, which shows blood flow in black and white.
Doctors use this test to diagnose several heart conditions, which we’ll discuss later. Color Doppler echo test is a safe and non-invasive way to get important information about the heart’s structure and function.
Why is it called a color Doppler echocardiography?
The Doppler principle is used in Doppler echocardiography to study how the blood flows in the heart.
Basically, the frequency of sound waves changes depending on whether an object is moving towards or away from the ultrasound probe. This is similar to how the sound of a train whistle changes depending on whether the train is moving toward or away from you.
In Doppler echocardiography, the moving objects are blood cells — when the blood cells move toward the probe, they will appear red on the screen. If they are moving away from the probe, they will appear blue.
By measuring these changes in frequency, doctors can get information about the speed and direction of blood flow in the heart. This helps them diagnose heart conditions and monitor treatments.
How do doctors use this test to diagnose heart conditions — what do different colors indicate?
When a heart is healthy, the blood flow appears in two distinct colors — blue and red. However, when the heart is in a diseased state, such as when there is a leak in the valves, the blood flow can appear mosaic in color with shades of yellow added to it.
This diagnostic tool is very useful in identifying leaks and blockages in valves, as well as abnormalities in the flow of blood and defects between the walls of the heart chambers.
The mosaic-colored jets seen on color Doppler are an important visual indicator of these changes. Even small defects can be easily detected with this technique, making it a valuable tool in the early detection and treatment of heart disease.
While echocardiography can also be used to detect defects in the heart, it may not be as effective as color Doppler. Without the use of Doppler, it can be difficult to detect small defects that may have serious consequences if left untreated.
Book a color Doppler echocardiography with MFine
If you’re looking to book a color Doppler echocardiography, MFine is the right place for you. We offer the best value for your money with fast and reliable service. Our team can provide you with films of your scan in just 20 minutes and reports within 12 hours.
Moreover, we offer great discounts on radiology scans, with up to 50% off when you book with us.
So why wait? Book your color Doppler echocardiography with MFine today and get the best possible service at an affordable price.
Conclusion
Color Doppler echocardiography is a non-invasive way to diagnose heart conditions by using sound waves to measure blood flow in the heart and its chambers.
This diagnostic tool helps identify leaks and blockages in valves, as well as abnormalities in the flow of blood and defects between the walls of the heart chambers.
Color Doppler echocardiography is an important visual indicator of changes in the heart, making it valuable for the early detection and treatment of heart disease.
Frequently Asked Questions
How long does an echo color Doppler test take?
This test may take upto 45 minutes to complete.
What is the use of Colour Doppler echocardiography?
It’s used to image the movement of blood through the heart, arteries, and veins.
How do you prepare a patient for Doppler?
Here are some tips to consider before going in for the test:
- Wear loose and comfortable clothes
- Remove any piece of jewelry, and
- Avoid smoking or any nicotine products
How is the test performed?
During a color Doppler echocardiography, you will lie on a table while a doctor or technician rubs a gel on the area being tested. This helps the sound waves travel and gives better results.
Then, they will use a small device that looks like a microphone or a wand and press it against your skin. This device sends sound waves into your body, which bounce off your blood cells, organs, and other body parts, and then back to the device. You might feel some pressure from the device, but it won’t hurt.
Can I eat before an echo Doppler test?
Yes, you can eat, drink, and continue to take medicine as normal unless otherwise suggested by your doctor.
Request a Call Back
Was this article helpful?
- 0 0
Love reading our articles?
Subscribe to never miss a post again!
